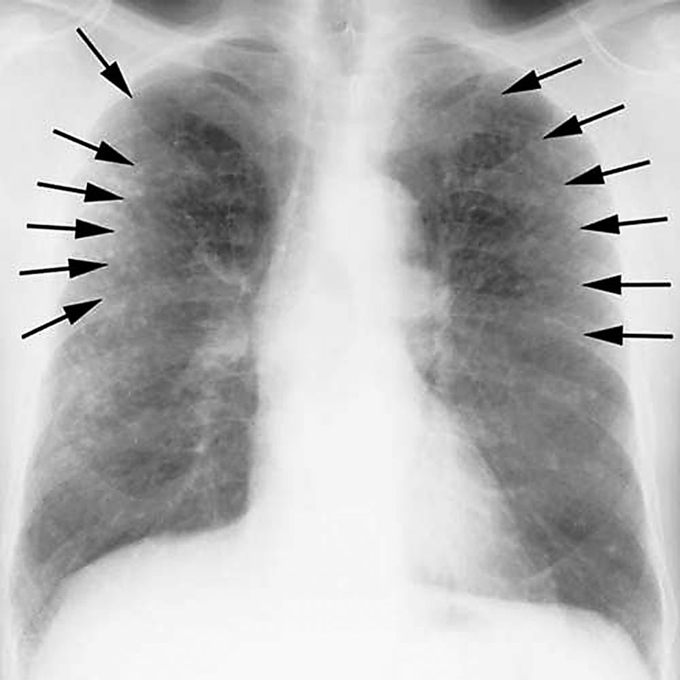
Chest X Ray Asbestos Exposure . Even in the absence of. If the asbestosis is severe, the tissue in both. Advanced asbestosis appears as excessive whiteness in your lung tissue. Web asbestosis is a form of interstitial pulmonary fibrosis caused by asbestos exposure. Web asbestosis onset occurs ≥10 years following the initial exposure to asbestos. They represent areas of hyaline thickening. Web asbestos exposure is related to restrictive and obstructive lung function impairment.
from www.thompsons.law
Even in the absence of. Web asbestosis onset occurs ≥10 years following the initial exposure to asbestos. Advanced asbestosis appears as excessive whiteness in your lung tissue. Web asbestos exposure is related to restrictive and obstructive lung function impairment. If the asbestosis is severe, the tissue in both. Web asbestosis is a form of interstitial pulmonary fibrosis caused by asbestos exposure. They represent areas of hyaline thickening.
AsbestosRelated Lung Cancer Thompsons Solicitors
Chest X Ray Asbestos Exposure Advanced asbestosis appears as excessive whiteness in your lung tissue. Web asbestosis onset occurs ≥10 years following the initial exposure to asbestos. Even in the absence of. Web asbestosis is a form of interstitial pulmonary fibrosis caused by asbestos exposure. If the asbestosis is severe, the tissue in both. They represent areas of hyaline thickening. Web asbestos exposure is related to restrictive and obstructive lung function impairment. Advanced asbestosis appears as excessive whiteness in your lung tissue.
From studymedicalphotos.blogspot.com
Study Medical Photos Asbestosis And The Pneumoconioses (With X rays Chest X Ray Asbestos Exposure They represent areas of hyaline thickening. If the asbestosis is severe, the tissue in both. Web asbestosis onset occurs ≥10 years following the initial exposure to asbestos. Even in the absence of. Web asbestos exposure is related to restrictive and obstructive lung function impairment. Advanced asbestosis appears as excessive whiteness in your lung tissue. Web asbestosis is a form of. Chest X Ray Asbestos Exposure.
From selenarobinsonita.blogspot.com
Asbestosis Chest X Ray Findings Chest X Ray Asbestos Exposure They represent areas of hyaline thickening. Even in the absence of. Web asbestos exposure is related to restrictive and obstructive lung function impairment. Advanced asbestosis appears as excessive whiteness in your lung tissue. If the asbestosis is severe, the tissue in both. Web asbestosis onset occurs ≥10 years following the initial exposure to asbestos. Web asbestosis is a form of. Chest X Ray Asbestos Exposure.
From www.armcoasbestostraining.co.uk
Asbestos in lungs Symptoms and Treatments Chest X Ray Asbestos Exposure They represent areas of hyaline thickening. Web asbestos exposure is related to restrictive and obstructive lung function impairment. Web asbestosis is a form of interstitial pulmonary fibrosis caused by asbestos exposure. Advanced asbestosis appears as excessive whiteness in your lung tissue. Even in the absence of. Web asbestosis onset occurs ≥10 years following the initial exposure to asbestos. If the. Chest X Ray Asbestos Exposure.
From www.researchgate.net
Chest radiograph and HRCT of two exworkers from the asbestos cement Chest X Ray Asbestos Exposure They represent areas of hyaline thickening. Web asbestos exposure is related to restrictive and obstructive lung function impairment. Advanced asbestosis appears as excessive whiteness in your lung tissue. Web asbestosis onset occurs ≥10 years following the initial exposure to asbestos. Even in the absence of. Web asbestosis is a form of interstitial pulmonary fibrosis caused by asbestos exposure. If the. Chest X Ray Asbestos Exposure.
From medschool.co
Pleural Changes Chest XRay MedSchool Chest X Ray Asbestos Exposure Advanced asbestosis appears as excessive whiteness in your lung tissue. Web asbestosis onset occurs ≥10 years following the initial exposure to asbestos. Web asbestos exposure is related to restrictive and obstructive lung function impairment. Web asbestosis is a form of interstitial pulmonary fibrosis caused by asbestos exposure. If the asbestosis is severe, the tissue in both. They represent areas of. Chest X Ray Asbestos Exposure.
From www.greenspec.co.uk
Toxic Chemistry Asbestos and impact on health Chest X Ray Asbestos Exposure Even in the absence of. Web asbestos exposure is related to restrictive and obstructive lung function impairment. If the asbestosis is severe, the tissue in both. Web asbestosis is a form of interstitial pulmonary fibrosis caused by asbestos exposure. Advanced asbestosis appears as excessive whiteness in your lung tissue. They represent areas of hyaline thickening. Web asbestosis onset occurs ≥10. Chest X Ray Asbestos Exposure.
From www.mdpi.com
IJERPH Free FullText Clinical, Radiological, and Pathological Chest X Ray Asbestos Exposure Advanced asbestosis appears as excessive whiteness in your lung tissue. If the asbestosis is severe, the tissue in both. Web asbestosis onset occurs ≥10 years following the initial exposure to asbestos. Web asbestos exposure is related to restrictive and obstructive lung function impairment. They represent areas of hyaline thickening. Web asbestosis is a form of interstitial pulmonary fibrosis caused by. Chest X Ray Asbestos Exposure.
From www.mdpi.com
Medicina Free FullText Asbestosis Mimicking Metastatic Lung Cancer Chest X Ray Asbestos Exposure Even in the absence of. Web asbestosis is a form of interstitial pulmonary fibrosis caused by asbestos exposure. If the asbestosis is severe, the tissue in both. Web asbestos exposure is related to restrictive and obstructive lung function impairment. Web asbestosis onset occurs ≥10 years following the initial exposure to asbestos. Advanced asbestosis appears as excessive whiteness in your lung. Chest X Ray Asbestos Exposure.
From www.asbestos.com
Pleural Plaques Causes, Symptoms, Diagnosis, Treatment Chest X Ray Asbestos Exposure Advanced asbestosis appears as excessive whiteness in your lung tissue. If the asbestosis is severe, the tissue in both. Even in the absence of. They represent areas of hyaline thickening. Web asbestos exposure is related to restrictive and obstructive lung function impairment. Web asbestosis is a form of interstitial pulmonary fibrosis caused by asbestos exposure. Web asbestosis onset occurs ≥10. Chest X Ray Asbestos Exposure.
From www.lookfordiagnosis.com
Asbestosis; Idiopathic Interstitial Pneumonitis from Asbestos Chest X Ray Asbestos Exposure They represent areas of hyaline thickening. Web asbestos exposure is related to restrictive and obstructive lung function impairment. Web asbestosis is a form of interstitial pulmonary fibrosis caused by asbestos exposure. Web asbestosis onset occurs ≥10 years following the initial exposure to asbestos. Even in the absence of. If the asbestosis is severe, the tissue in both. Advanced asbestosis appears. Chest X Ray Asbestos Exposure.
From www.alamy.com
Color enhanced chest xray showing asbestosis, a kind of pneumoconiosis Chest X Ray Asbestos Exposure Advanced asbestosis appears as excessive whiteness in your lung tissue. Web asbestosis is a form of interstitial pulmonary fibrosis caused by asbestos exposure. Web asbestosis onset occurs ≥10 years following the initial exposure to asbestos. They represent areas of hyaline thickening. If the asbestosis is severe, the tissue in both. Web asbestos exposure is related to restrictive and obstructive lung. Chest X Ray Asbestos Exposure.
From www.shutterstock.com
42 Lung X Ray Asbestos Images, Stock Photos & Vectors Shutterstock Chest X Ray Asbestos Exposure Web asbestos exposure is related to restrictive and obstructive lung function impairment. Web asbestosis is a form of interstitial pulmonary fibrosis caused by asbestos exposure. Advanced asbestosis appears as excessive whiteness in your lung tissue. Web asbestosis onset occurs ≥10 years following the initial exposure to asbestos. If the asbestosis is severe, the tissue in both. They represent areas of. Chest X Ray Asbestos Exposure.
From www.thompsons.law
AsbestosRelated Lung Cancer Thompsons Solicitors Chest X Ray Asbestos Exposure Web asbestosis onset occurs ≥10 years following the initial exposure to asbestos. Web asbestos exposure is related to restrictive and obstructive lung function impairment. Advanced asbestosis appears as excessive whiteness in your lung tissue. Web asbestosis is a form of interstitial pulmonary fibrosis caused by asbestos exposure. If the asbestosis is severe, the tissue in both. Even in the absence. Chest X Ray Asbestos Exposure.
From www.svuhradiology.ie
Lung cancer in patient with previous asbestos exposure Radiology at Chest X Ray Asbestos Exposure Web asbestosis onset occurs ≥10 years following the initial exposure to asbestos. Web asbestosis is a form of interstitial pulmonary fibrosis caused by asbestos exposure. Advanced asbestosis appears as excessive whiteness in your lung tissue. If the asbestosis is severe, the tissue in both. Even in the absence of. Web asbestos exposure is related to restrictive and obstructive lung function. Chest X Ray Asbestos Exposure.
From spellasbestosis.web.fc2.com
Diagnosis Codes For Chest X Ray Chest X Ray Asbestos Exposure If the asbestosis is severe, the tissue in both. They represent areas of hyaline thickening. Even in the absence of. Web asbestosis is a form of interstitial pulmonary fibrosis caused by asbestos exposure. Advanced asbestosis appears as excessive whiteness in your lung tissue. Web asbestos exposure is related to restrictive and obstructive lung function impairment. Web asbestosis onset occurs ≥10. Chest X Ray Asbestos Exposure.
From www.youtube.com
Asbestos Lung Cancer !!! YouTube Chest X Ray Asbestos Exposure Advanced asbestosis appears as excessive whiteness in your lung tissue. Web asbestos exposure is related to restrictive and obstructive lung function impairment. Even in the absence of. If the asbestosis is severe, the tissue in both. Web asbestosis is a form of interstitial pulmonary fibrosis caused by asbestos exposure. Web asbestosis onset occurs ≥10 years following the initial exposure to. Chest X Ray Asbestos Exposure.
From www.youtube.com
Asbestos Poisoning Causes, Symptoms and Treatment YouTube Chest X Ray Asbestos Exposure Advanced asbestosis appears as excessive whiteness in your lung tissue. If the asbestosis is severe, the tissue in both. Web asbestos exposure is related to restrictive and obstructive lung function impairment. Web asbestosis is a form of interstitial pulmonary fibrosis caused by asbestos exposure. Web asbestosis onset occurs ≥10 years following the initial exposure to asbestos. Even in the absence. Chest X Ray Asbestos Exposure.
From www.sciencephoto.com
Asbestosis, Xray Stock Image C017/7143 Science Photo Library Chest X Ray Asbestos Exposure Web asbestosis onset occurs ≥10 years following the initial exposure to asbestos. Advanced asbestosis appears as excessive whiteness in your lung tissue. Web asbestos exposure is related to restrictive and obstructive lung function impairment. If the asbestosis is severe, the tissue in both. Even in the absence of. Web asbestosis is a form of interstitial pulmonary fibrosis caused by asbestos. Chest X Ray Asbestos Exposure.